치아교정 | 교정으로 치아 제자리로 옮기기
페이지 정보
작성자 관리자 작성일19-12-04 10:53 조회0회 댓글0건본문
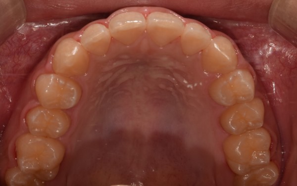
●치료명 : #15 치아 제자리로 옮기기
●치료기간: 2018.11.26~2019.09.21
●치료 내용
: #15 이소성 맹출로 교정하였던 증례입니다. 다행히 #17 맹출되기 전이라 #15 바른 위치에 옮겨 놓았습니다
●치료기간: 2018.11.26~2019.09.21
●치료 내용
: #15 이소성 맹출로 교정하였던 증례입니다. 다행히 #17 맹출되기 전이라 #15 바른 위치에 옮겨 놓았습니다
댓글목록
등록된 댓글이 없습니다.














