사랑니 | 사랑니 발치(#18,48)
페이지 정보
작성자 관리자 작성일20-07-03 19:16 조회0회 댓글0건본문
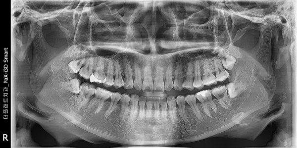
#18,48 마취 후 사랑니 발거 시행하였습니다
•치료명 : 하악 매복사랑니 발거
•치료기간 : 하루
•치료명 : 하악 매복사랑니 발거
•치료기간 : 하루
댓글목록
등록된 댓글이 없습니다.

대표 : 금기천 | 세종특별자치시 아름서1길 13-12 제이디빌딩 4층 | 사업자등록번호 : 383-02-00549
대표전화 : 044-998-2875 | 이메일 : theplantdt@naver.com | fax : 044-998-2874
COPYRIGHT(C) 2016. 더플랜트치과의원. ALL LIGHTS RESERVED.