사랑니 | 하악 사랑니 발거
페이지 정보
작성자 관리자 작성일19-10-31 14:54 조회0회 댓글0건본문
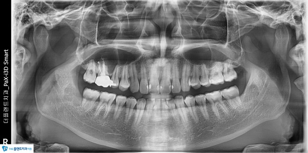
●치료명 : 매복 사랑니 발거
●치료기간: 번갈아가며 발치
●치료 내용 : #38,48 국소마취후에 발거
●치료기간: 번갈아가며 발치
●치료 내용 : #38,48 국소마취후에 발거
댓글목록
등록된 댓글이 없습니다.

대표 : 금기천 | 세종특별자치시 아름서1길 13-12 제이디빌딩 4층 | 사업자등록번호 : 383-02-00549
대표전화 : 044-998-2875 | 이메일 : theplantdt@naver.com | fax : 044-998-2874
COPYRIGHT(C) 2016. 더플랜트치과의원. ALL LIGHTS RESERVED.