더플랜트치과의원

본문 바로가기

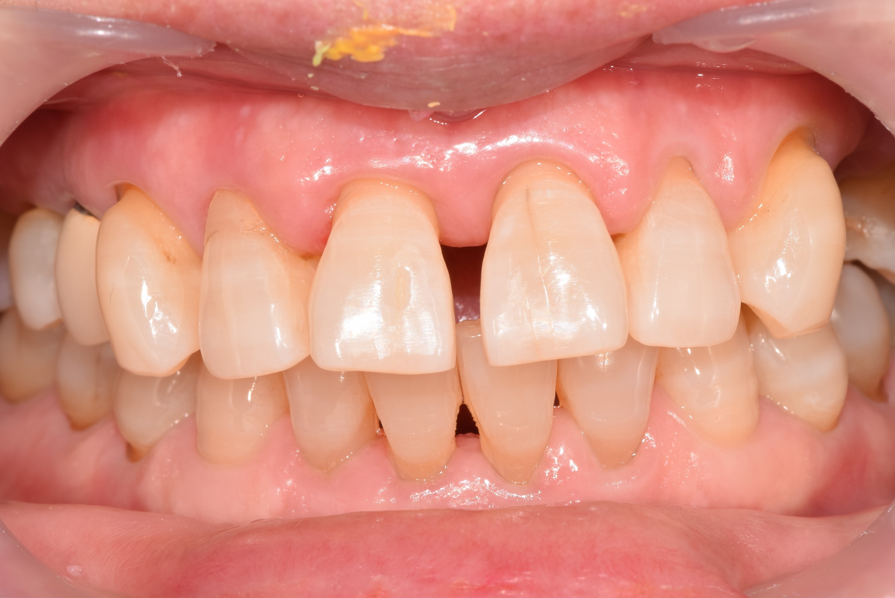
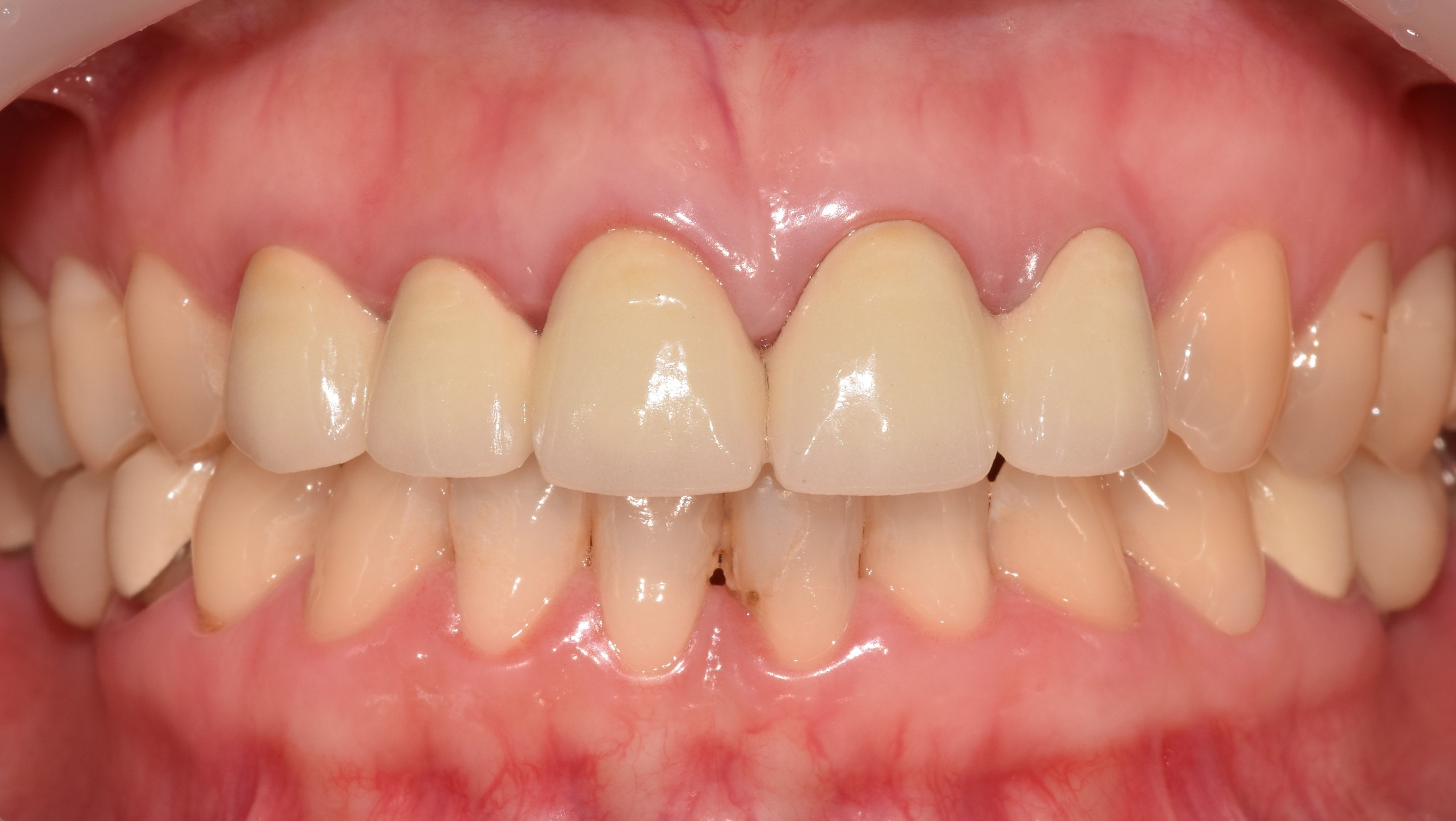
치료사례


병원소개 | 이용약관 | 개인정보취급방침 안내 | 이메일무단수집거부 | CCTV운영관리방침 | 오시는길 상단으로

아직 회원이 아니신가요? 회원가입하기