심미보철치료 | 벌어진 앞니 레진치료
페이지 정보
작성자 관리자 작성일19-07-02 14:32 조회0회 댓글0건본문
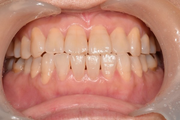
•치료명 : 벌어진 앞니 레진치료
•치료기간 : 1일
#22 치아의 벌어짐을 주소로 내원하신 환자분께 레진으로 공간을 충전하는 치료를 하였습니다.
•치료기간 : 1일
#22 치아의 벌어짐을 주소로 내원하신 환자분께 레진으로 공간을 충전하는 치료를 하였습니다.
댓글목록
등록된 댓글이 없습니다.














